
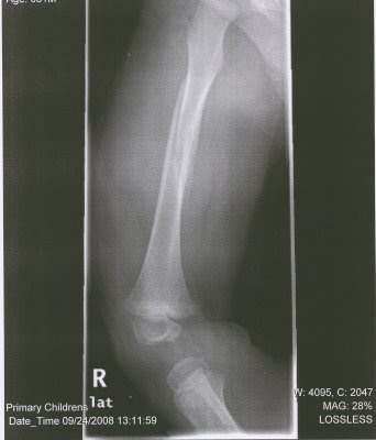
Yesterday was an interesting day to say the least. It started out like any other day. I just finished bathing the boys and they were playing in my room while I was cleaning up the bathroom but then I hear a THUD! Preston and Cooper were fighting over their toy Zebra and Preston told me later, "I jumped off the bed like Superman." He jumped off my bed and broke his femur bone. I didn't know it was broken, but I got us all dressed and went over to my neighbor's house to ask for a second opinion. I knew his leg hurt really bad, but I couldn't tell it was broken. I called Cam and he came over and he made the decision to call the ambulance. We were taken up to Primary Children's Hospital. We spent most of the day in the ER then he was taken into surgery to straighten his leg and have the cast put on. It is the most horrible cast ever. It is on both of his legs and it goes up to his belly button. He will be in it for six weeks. He is so frustrated. I feel so bad for the poor kid!
I would really like to thank my cute neighbor, Natalie for helping with this scary injury. Thanks to my mom for watching Cooper while we were gone at the hospital. And thanks to Sherri and Dru for always being available for help. Also, thanks to those who offered to bring meals, and help me in any way. We know we are truly loved! We really appreciate it!
1 comment:
How awful! I'm so sorry! I can't believe this poor little guy is in such an awful cast for 6 weeks! Our little Ainsley broke her arm last year jumping out of a playpen and we didn't know it was broken for a week. Man, did I feel bad when we found out.
Post a Comment